チェリッシュの口元を美しくするメニュー
| ホワイトニング及び口臭カウンセリング | 無料 |
|---|
スーパーポリリンプラチナホワイトニング
従来のプラチナポリリンよりも、ワイトニング効果が20%アップしました。。
| ポリリンプラチナホワイト二ング | |
|---|---|
| 2回照射(お試しコース | 12900円(税込) |
| 3回照射(スタンダード) | 18400円(税込) |
| 4回照射(しっかりコース) | 25000円(税込) |
※初回から3か月以内の施術となります。
※歯牙を守り知覚過敏を減らすCAPシステムを含みます
※平日限定 3000円 OFF
ポリッシング
ホワイトニングの前にポリッシングをして表面の色素や被膜を取ることでホワイトニングの効果をサポートします。ポリリンホワイトは通常のオフィスホワイトに比べると効果がマイルドなので併用することをお勧めします。
| 1回 | 5500円(税>込) |
|---|
PMTC
ひどい汚れや歯垢を徹底的に除去します。
特にホワイトニングでは「ペリクル」という膜を除去する事が必要になります。市販のホワイトニング剤が白くならないのは濃度が薄いのもありますが、この「ぺリクル」が薬剤の浸透を妨げるからです。
| PMTC 1回 | 5500円(税込) |
|---|
ホームホワイトニングコース
じっくり自宅で行うホワイトングです。自分で納得いくまでホワイトニングしてください。ホワイトニングはやればやるほど白くなります。ただ効果がゆっくりのため自覚しにくいので、比較ができる上下どちらか片方づつ行う事をお薦めします。
| ホームホワイトニングコース | |
|---|---|
| 上下、どちらか | 16500円(税込) |
| 上下、両方 | 38500円(税込) |
デュアルホワイトニングコース
日本人がホワイトニングを行うにあたり一番良いと言われている方法がこのデュアルホワイトニングです。日本人は欧米人に比べエナメル質が薄く象牙質の色が出て縞模様になりやすいため、オフィスで白くしてホームで縞を均一に白くしていくと綺麗に仕上がります。
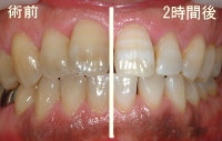
※ 写真はデュアルホワイトニングの症例。
| デュアルホワイトニングコース | |
|---|---|
| ホーム(マウスピース+ホワイトニング剤) | 58000円(税込) |
※初回から3か月以内の施術となります。
※歯牙を守り知覚過敏を減らすCAPシステムを含みます
※平日限定 3000円 OFF
スペシャルホワイトニングコース
オフィスホワイトニングの3回パックで白さの限界に挑戦します。オフィスホワイトニングのみで回数を重ねるごとに白さを実感できます。来院時のみホワイトニングを行うためお家でホワイトニングをする時間がない人や面倒な事が嫌いな方におススメです。
| パーフェクトホワイトニングコース | |
|---|---|
| オフィス(3回照射)×3回 | 52800円(税込) |
※歯牙を守り知覚過敏を減らすCAPシステムを含みます。
※初回から3か月以内の施術となります。
※平日限定 3000円 OFF
トリートメント
虫歯予防や歯周病予防に非常に効果を発揮します。気持ち良く眠くなるほどです。痛みは一切ないので恐怖心の強い人はまめに受ける事をお薦めします。
| トリートメント | |
|---|---|
| 30分 | 5500円(税込) |
| 60分 | 11000円(税込) |
ブレスケアメイク
悩んではいないけどエチケットとして正しい口臭ケアを学びたい。自分に合った口臭ケアを知りたいという方に、口臭ケアの方法とケアグッズの使い方をお教えします。
| 1回 | 30250円(税込) |
|---|---|
| 口臭ケア用品 | 5500~9900円(税込) |
顕微鏡検査
歯周内科のコンセプトに基づき細菌の検査を顕微鏡で調べます。その結果により抗菌剤もしくは抗真菌剤を投与し殺菌を行い治療していきます。全ての症例が治るわけではありませんが、中等度から重度の歯周病に有効であると言われています。
| 顕微鏡検査 1回 | 5500円(税込) |
|---|
